PROTOZOOS

I.A. FILO APICOMPLEXA

Sarcocystis spp

CARACTERÍSTICAS: Sarcocystis spp. son parásitos coccidios intracelulares que requieren un ciclo de vida indirecto (heteroxeno), alternando entre un hospedero definitivo (generalmente un carnívoro) y un hospedero intermediario (generalmente un herbívoro).

  • Ooquiste: De morfología ovoide, mide 18–25 µm de longitud. Presenta una pared delgada y frágil que frecuentemente se rompe en el intestino, liberando dos esporoquistes maduros que son la forma diagnóstica habitual en heces.
  • Esporoquiste: De forma elíptica o alargada con extremos redondeados, cada uno contiene cuatro esporozoítos en su interior. Son la forma infectante para el hospedero intermediario.
  • Esporozoíto: Forma fusiforme (menos de 10 µm) que posee un complejo apical, el cual le permite invadir las células endoteliales del hospedero intermediario.
  • Merozoíto: Desarrollados tras la esquizogonia en el endotelio, estos invaden las células musculares (esqueléticas y cardíacas) para formar los sarcoquistes.
  • Sarcoquiste (Quiste Tisular): Estructura de resistencia y multiplicación en el tejido muscular del hospedero intermediario. Su tamaño es variable (micras a centímetros) y su pared varía específica: en S. hominis (ciclo bovino-humano) y S. suihominis (ciclo porcino-humano) es gruesa, con protrusiones radiales características. En su interior albergan miles de bradizoítos (merozoítos de división lenta).

UBICACIÓN: En el ser humano, la ubicación depende de su rol como hospedero.

  • Hospedero Definitivo (Sarcocistosis Intestinal): Células epiteliales del intestino delgado (para S. hominis y S. suihominis).
  • Hospedero Intermediario Accidental (Sarcocistosis Muscular): Tejido muscular esquelético y cardíaco (por especies de Sarcocystis zoonóticas desconocidas, históricamente agrupadas como S. lindemanni).

ESTADO INFECTANTE:

  • Para el Humano (Hospedero Definitivo): Sarcoquistes (conteniendo bradizoítos) presentes en carne cruda o insuficientemente cocida de bovinos o porcinos.
  • Para el Hospedero Intermediario (animales): Esporoquistes excretados en las heces humanas.

ENFERMEDAD: Sarcocistosis (intestinal o muscular).

SÍNTOMAS: La sarcocistosis intestinal (adquirida por ingestión de carne) suele ser leve o asintomática, pero puede manifestarse con dolor abdominal agudo, náuseas, vómitos y diarrea profusa. La sarcocistosis muscular (adquirida por ingestión de esporoquistes del ambiente) es rara pero más severa, cursando con mialgias, fiebre, debilidad y eosinofilia.

DIAGNÓSTICO:

  • Sarcocistosis Intestinal: Detección de esporoquistes en heces mediante exámenes coproparasitológicos (técnicas de flotación, como Sheather) o tinción de Ziehl-Neelsen modificada (ácido-alcohol resistentes).
  • Sarcocistosis Muscular: Diagnóstico por biopsia muscular (observación de sarcoquistes) y apoyo serológico (ELISA, PCR).

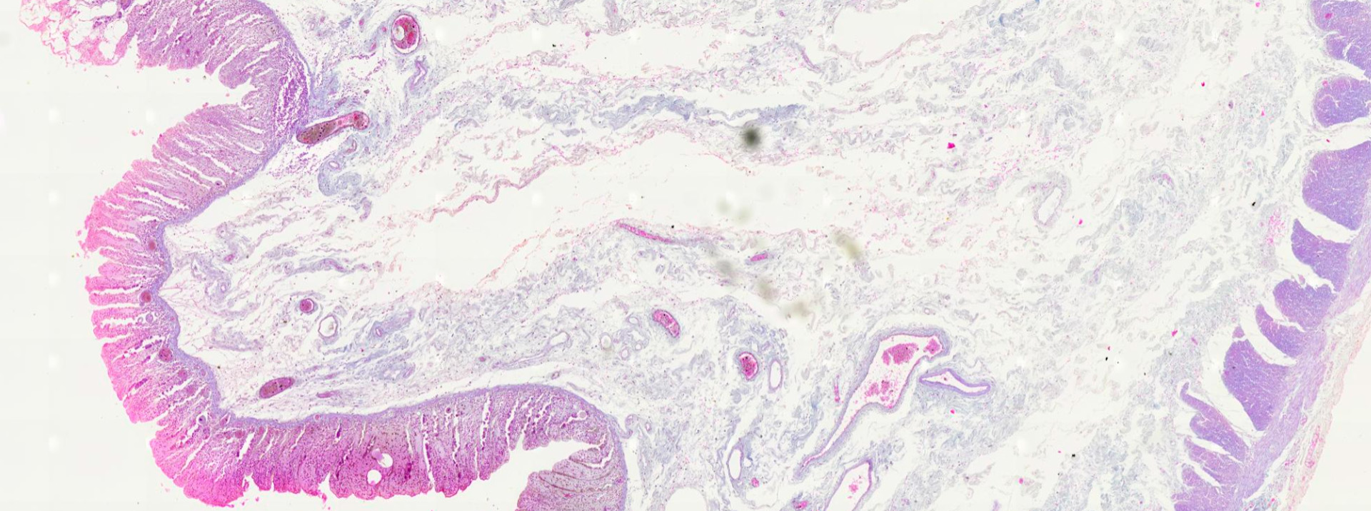
IMAGEN ESCANEADA

Sarcoquiste en músculo

Revisa más información en la página de la CDC:

https://www.cdc.gov/dpdx/sarcocystosis/index.html

 

Cryptosporidium spp

CARACTERÍSTICAS: Protozoos coccidios intracelulares obligados que infectan el epitelio gastrointestinal y, en ocasiones, respiratorio. Se localizan en una vacuola parasitófora intracelular pero extracytoplasmática, en el borde en cepillo (microvellosidades) de los enterocitos.

  • Ooquiste: Es la forma de resistencia e infectante. Esférico u ovalado, mide 4–6 µm de diámetro. Posee una pared gruesa y resistente al ambiente (responsable de la transmisión fecal-oral) o una pared delgada (responsable de los ciclos de autoinfección interna). Contiene cuatro esporozoítos libres (sin esporoquistes).
  • Esporozoíto: Forma alargada (1–2 µm) con un complejo apical, liberada del ooquiste en el intestino.
  • Trofozoíto: Forma activa de alimentación y crecimiento, redondeada (1–2 µm), que se desarrolla a partir del esporozoíto en la microvellosidad.
  • Esquizonte (Meronte): Estadio de reproducción asexual (merogonia). Mide 4–6 µm. Los esquizontes Tipo I (8 merozoítos) perpetúan el ciclo asexual, mientras que los Tipo II (4 merozoítos) se diferencian en gametocitos.
  • Merozoíto: Fusiforme (1.5–2 µm), liberado del esquizonte para invadir nuevas células.
  • Gametocitos (Macrogameto y Microgameto): Estadios sexuales que, tras la fecundación, dan origen al zigoto y, subsecuentemente, al ooquiste.

UBICACIÓN: Borde en cepillo (microvellosidades) de los enterocitos, principalmente en el intestino delgado.

ESTADO INFECTANTE: Ooquiste de pared gruesa, maduro y esporulado al ser excretado.

ENFERMEDAD: Criptosporidiosis.

SÍNTOMAS:

  • En Inmunocompetentes: Cursa como una diarrea acuosa autolimitada (1–2 semanas), acompañada de dolor abdominal tipo cólico, náuseas, vómitos, fiebre leve y malestar general.
  • En Inmunocomprometidos (ej. SIDA): Provoca una diarrea profusa, crónica y debilitante, que conduce a deshidratación severa, síndrome de malabsorción, pérdida de peso extrema (caquexia) y complicaciones extraintestinales (colangitis, colecistitis, pancreatitis o afectación respiratoria).

DIAGNÓSTICO: Exámenes coproparasitológicos que requieren técnicas específicas, ya que los ooquistes no se tiñen con métodos de rutina. La técnica de elección es la tinción de Ziehl-Neelsen modificada (Kinyoun), donde los ooquistes aparecen como esferas de color rojo-fucsia sobre fondo azul. También son útiles las tinciones fluorescentes (auramina-rodamina) y métodos de inmunodiagnóstico (ELISA o inmunocromatografía en heces) y PCR.


Revisa más información en la página de la CDC:
https://www.cdc.gov/dpdx/cryptosporidiosis/index.htm

 

Plasmodium spp

CARACTERÍSTICAS: Protozoo Apicomplexa intracelular obligado, agente etiológico de la malaria. Requiere un ciclo biológico complejo (heteroxeno) que involucra a un hospedero vertebrado (humano) para la reproducción asexual (esquizogonia) y a un vector invertebrado (mosquito hembra del género Anopheles) para la reproducción sexual (esporogonia).

  • Esporozoíto: Forma fusiforme (aprox. 11 µm) inoculada por el mosquito. Es la fase infectiva para el humano. Viaja por el torrente sanguíneo hasta los hepatocitos, donde inicia la fase exo-eritrocítica (esquizogonia tisular).
  • Trofozoíto: Fase de crecimiento intra-eritrocítico. Inicialmente tiene forma de anillo (trofozoíto joven o anular), con citoplasma delgado y un núcleo de cromatina.
  • Esquizonte: Estadio de reproducción asexual (esquizogonia eritrocítica). El núcleo del trofozoíto maduro se divide múltiplemente, dando lugar a un número variable de merozoítos (dependiendo de la especie).
  • Merozoíto: Formas pequeñas y ovoides liberadas tras la lisis del eritrocito (hemólisis), responsables de invadir nuevos eritrocitos y de la sintomatología febril (paroxismos).
  • Gametocito: Formas sexuales (macrogametocito femenino y microgametocito masculino) que se desarrollan a partir de merozoítos dentro de los eritrocitos. Son la fase infectiva para el mosquito vector. Presentan morfología distintiva, como la forma semilunar o de banana característica de P. falciparum.

UBICACIÓN: Hepatocitos (fase exo-eritrocítica) y eritrocitos (fase eritrocítica).

ESTADO INFECTANTE:

  • Para el Humano: Esporozoíto (inoculado por el vector).
  • Para el Mosquito: Gametocito (ingerido en la sangre del humano).

ENFERMEDAD: Paludismo o Malaria.

SÍNTOMAS: Caracterizados por paroxismos febriles (accesos palúdicos) con una tríada de escalofríos intensos, fiebre elevada (picos periódicos, terciana o cuartana según la especie) y sudoración profusa. Se acompaña de anemia hemolítica, esplenomegalia, cefalea e ictericia. P. falciparum causa la forma más grave (malaria maligna), pudiendo generar complicaciones letales como neuropaludismo (malaria cerebral), insuficiencia renal aguda y edema pulmonar.

DIAGNÓSTICO: El estándar de oro es la microscopía:

  1. Gota Gruesa: Permite la concentración de sangre y la detección sensible del parásito.
  2. Frotis Sanguíneo (Extendido Fino): Permite la identificación de la especie de Plasmodium basada en la morfología de los estadios intra-eritrocíticos. Ambos se tiñen con Giemsa. También se utilizan pruebas rápidas de detección de antígenos (RDTs) y técnicas moleculares (PCR) para confirmación y especiación.

 

IMAGEN ESCANEADA

 Plasmodium malariae   (frotis sanguíneo)

https://pathpresenter.net/public/display?token=9d1b574f


Revisa más información en la página de la CDC:
https://www.cdc.gov/dpdx/malaria/index.html

Toxoplasma gondii

CARACTERÍSTICAS: Coccidio intracelular de distribución mundial, capaz de infectar a la mayoría de los animales de sangre caliente, incluyendo al ser humano. Los felinos son los únicos hospederos definitivos.

  • Taquizoíto (Trofozoíto): Forma de reproducción rápida, invasiva y móvil. Tiene forma de medialuna o arco (griego toxon), midiendo 4–8 µm x 2–4 µm, con un polo anterior aguzado (donde se sitúa el complejo apical) y un polo posterior redondeado. Se agrupan dentro de vacuolas en la célula hospedadora, formando pseudoquistes. Responsable de la fase aguda de la infección.
  • Bradizoíto: Forma de reproducción lenta, contenida dentro de quistes tisulares. Morfológicamente similar al taquizoíto pero metabólicamente menos activo. Responsable de la fase crónica o latente de la infección.
  • Quiste Tisular: Estructura de resistencia en el hospedero intermediario, de forma esférica, que contiene cientos o miles de bradizoítos. Se localiza preferentemente en cerebro, músculo esquelético y cardíaco.
  • Ooquiste: Forma de resistencia ambiental producida solo en el intestino del hospedero definitivo (felino). Es ovalado y se excreta no esporulado en las heces. Tras 1–5 días en el ambiente, madura (esporula) para formar dos esporoquistes, cada uno con cuatro esporozoítos.

UBICACIÓN: Parásito tisular. En la fase aguda (taquizoítos), diseminado por torrente sanguíneo y linfa. En la fase crónica (bradizoítos en quistes), principalmente en sistema nervioso central, ojos y tejido muscular.

ESTADO INFECTANTE:

  • Ingestión de ooquistes maduros (esporulados) del ambiente (contaminación fecal-oral).
  • Ingestión de quistes tisulares (con bradizoítos) en carne cruda o mal cocida.
  • Transmisión vertical (transplacentaria) de taquizoítos de la madre al feto.

ENFERMEDAD: Toxoplasmosis.

SÍNTOMAS:

  • En Inmunocompetentes: Generalmente asintomática (80-90%). Cuando es sintomática (toxoplasmosis aguda), se presenta como un síndrome mononucleósico, con fiebre, malestar general y linfadenopatías (especialmente cervicales).
  • En Inmunocomprometidos: Reactivación de la infección latente, usualmente como una encefalitis toxoplásmica (lesiones ocupantes de espacio en el SNC), miocarditis o neumonitis, con alta mortalidad.
  • Toxoplasmosis Congénita: Si la primoinfección ocurre durante el embarazo. La transmisión fetal puede provocar aborto, muerte fetal o secuelas graves en el recién nacido, presentando la tríada de Sabin: coriorretinitis, calcificaciones intracraneales e hidrocefalia.

DIAGNÓSTICO: Principalmente serológico (ELISA, RIFI) para detectar anticuerpos IgG e IgM (o IgA/IgE) y determinar la fase de la infección (aguda vs. crónica) mediante pruebas de avidez de IgG. En inmunosuprimidos y casos congénitos, se utiliza PCR en fluidos (LCR, líquido amniótico, sangre) y diagnóstico por imágenes (TAC/RMN cerebral).


Revisa más información en la página de la CDC:

https://www.cdc.gov/dpdx/toxoplasmosis/index.html

Cystoisospora belli

CARACTERÍSTICAS: Coccidio intracelular que parasita los enterocitos del intestino delgado humano, siendo el ser humano su único hospedero conocido (ciclo monoxeno).

  • Ooquiste Inmaduro: Forma diagnóstica en heces. De gran tamaño (20–30 µm x 10–20 µm), forma elíptica u ovoide con una pared doble, lisa y transparente. Contiene una masa esférica granular central (esporoblasto).
  • Ooquiste Maduro (Esporulado): Se desarrolla en el medio ambiente (o a veces en el intestino en inmunosuprimidos). Contiene dos esporoquistes elípticos, cada uno con cuatro esporozoítos falciformes (forma de media luna).
  • Esquizonte: Estadio de reproducción asexual en los enterocitos, de forma redondeada (12–50 µm), que contiene múltiples merozoítos.
  • Merozoíto: Forma de bastón o media luna (10–12 µm) con complejo apical, que invade nuevos enterocitos.
  • Gametocitos: Estadios sexuales (macrogametocitos y microgametocitos) que dan lugar al zigoto (ooquiste inmaduro) tras la fecundación.

UBICACIÓN: Enterocitos del intestino delgado (duodeno distal y yeyuno proximal).

ESTADO INFECTANTE: Ooquiste maduro (esporulado) ingerido por vía fecal-oral.

ENFERMEDAD: Cystoisosporiasis (anteriormente Isosporiasis).

SÍNTOMAS:

  • Forma Aguda (Inmunocompetentes): Diarrea acuosa profusa (sin sangre), dolor abdominal tipo cólico, náuseas, febrícula, anorexia y flatulencia. Puede presentarse eosinofilia periférica.
  • Forma Crónica (Inmunocomprometidos): Especialmente en pacientes con SIDA. Cursa con diarrea crónica, esteatorrea (heces grasas), síndrome de malabsorción severa, pérdida de peso significativa y desequilibrio electrolítico. Puede presentar recurrencias.

DIAGNÓSTICO: Examen coproparasitológico para la detección de los ooquistes característicos. Debido a su transparencia, se observan mejor con microscopía de contraste de fase o mediante técnicas de concentración por flotación (Sheather). Son ácido-alcohol resistentes, tiñéndose de rojo con la tinción de Ziehl-Neelsen modificada. También exhiben autofluorescencia azul bajo luz ultravioleta. El PCR en heces ofrece alta sensibilidad.


Revisa más información en la página de la CDC:

https://www.cdc.gov/dpdx/cystoisosporiasis/index.html

 

I.B. FLAGELADOS (SUPERGRUPOS EXCAVATA Y METAMONADA)

Giardia duodenalis (sin. G. lamblia, G. intestinalis)

CARACTERÍSTICAS: Protozoo flagelado del filo Metamonada, que parasita el intestino delgado. No invade los tejidos, sino que se adhiere firmemente a la mucosa epitelial mediante un disco suctorio ventral, causando atrofia de las vellosidades y malabsorción. Su ciclo de vida alterna dos formas:

  • Trofozoíto: Forma vegetativa, móvil y patógena. Mide 12–15 µm de longitud. Presenta una característica morfología piriforme (forma de pera) y simetría bilateral. Aplanado dorsoventralmente. Posee dos núcleos (que le dan apariencia de “cara”), cuatro pares de flagelos, axostilo central y un disco suctorio ventral prominente para la adhesión.
  • Quiste: Forma de resistencia e infectante. Mide 8–12 µm x 7–10 µm. De forma ovoide, posee una pared quística gruesa y lisa. En su interior, el citoplasma se retrae y contiene de dos a cuatro núcleos (en quistes maduros), cuerpos parabasales y restos flagelares (axonemas).

UBICACIÓN: Intestino delgado, principalmente en duodeno y yeyuno.

ESTADO INFECTANTE: Quiste maduro (tetranucleado).

ENFERMEDAD: Giardiasis.

SÍNTOMAS: La infección puede ser asintomática. La giardiasis aguda se manifiesta tras un periodo de incubación de 1-2 semanas, con diarrea acuosa (fétida, sin sangre), dolor abdominal epigástrico, distensión abdominal, flatulencia y náuseas. La giardiasis crónica puede durar meses y se asocia con síndrome de malabsorción, esteatorrea (heces grasas), pérdida de peso y, en niños, retraso del crecimiento.

DIAGNÓSTICO: Detección de quistes (más comunes) o trofozoítos (en diarrea aguda) en heces. Se recomienda un examen coproparasitológico seriado (EPSD) utilizando técnicas de concentración (flotación o sedimentación, como Teleman modificado). También existen pruebas de detección de antígenos en heces (ELISA, inmunocromatografía) de alta sensibilidad y especificidad.


IMAGEN ESCANEADA

Giardia lamblia

https://pathpresenter.net/public/display?token=a4d87310


Revisa más información en la página de la CDC:
https://www.cdc.gov/dpdx/giardiasis/index.html


 

Trypanosoma cruzi

CARACTERÍSTICAS: Protozoo flagelado perteneciente al grupo de los Kinetoplastida. Es el agente etiológico de la Enfermedad de Chagas, una tripanosomiasis americana. Su ciclo es heteroxeno, requiriendo un hospedero vertebrado (humano, mamíferos) y un vector invertebrado (insectos hematófagos de la subfamilia Triatominae, conocidos como “vinchucas” o “chinches”). Presenta tres formas morfológicas principales:

  • Tripomastigoto: Forma flagelada y móvil. Mide aprox. 20–25 µm. Fusiforme, con un núcleo central. El kinetoplasto (estructura de ADN mitocondrial) es grande y se ubica en el extremo posterior. De allí emerge un flagelo que recorre el cuerpo formando una membrana ondulante y emerge libre por el extremo anterior. Se encuentra como tripomastigoto metacíclico (forma infectante en las deyecciones del vector) y como tripomastigoto sanguíneo (forma circulante y diagnóstica en el vertebrado).
  • Amastigoto: Forma intracelular, reproductiva e inmóvil. Mide 2–5 µm, es esférico u ovalado. Carece de flagelo externo libre. Presenta núcleo y kinetoplasto. Se replica por fisión binaria dentro de las células del hospedero (especialmente macrófagos y células musculares), formando nidos o pseudoquistes.
  • Epimastigoto: Forma reproductiva extracelular en el intestino medio del insecto vector. Fusiforme (20–25 µm), el kinetoplasto se localiza anteriormente al núcleo. El flagelo emerge lateralmente formando una corta membrana ondulante.

UBICACIÓN: En humanos: Amastigotos (intracelular) en tejidos (músculo cardíaco, esquelético, sistema nervioso autónomo) y Tripomastigotos (extracelular) en torrente sanguíneo.

ESTADO INFECTANTE:

  • Para el Humano: Tripomastigoto metacíclico (presente en las heces del vector, que penetra por la picadura o mucosas).
  • Para el Vector: Tripomastigoto sanguíneo (ingerido de la sangre del hospedero).

ENFERMEDAD: Enfermedad de Chagas (Tripanosomiasis americana).

SÍNTOMAS:

  • Fase Aguda: A menudo asintomática, o con síntomas inespecíficos (fiebre, malestar). Puede presentar un “chagoma” (inflamación en el sitio de inoculación) o el “signo de Romaña” (edema palpebral unilateral). En niños, puede ser grave (miocarditis aguda, meningoencefalitis).
  • Fase Crónica Indeterminada: Asintomática, con serología positiva.
  • Fase Crónica Sintomática (años/décadas después): Afecta principalmente al 30-40% de los infectados, causando miocardiopatía chagásica crónica (arritmias, insuficiencia cardíaca) y “megasíndromes” (megacolon, megaesófago) por destrucción del sistema nervioso autónomo.

DIAGNÓSTICO:

  • Fase Aguda: Detección directa del parásito en sangre (examen directo, gota gruesa, frotis, método de Strout).
  • Fase Crónica: Principalmente serológico (ELISA, IFI, TESA) para detectar anticuerpos IgG. El xenodiagnóstico (detección en vectores) y PCR también se utilizan.

IMAGEN ESCANEADA

Trypanosoma  cruzi  (frotis sanguíneo)

https://pathpresenter.net/public/display?token=5697ede5


Revisa más información en la página de la CDC:
https://www.cdc.gov/dpdx/trypanosomiasisamerican/index.html

Trichomonas vaginalis

CARACTERÍSTICAS: Protozoo flagelado del filo Parabasalia. A diferencia de otros parásitos intestinales, no posee forma quística y existe únicamente como trofozoíto. Esta característica implica que su transmisión es casi exclusivamente por contacto directo, principalmente sexual.

  • Trofozoíto: Es la forma infectante y diagnóstica. De morfología piriforme u ovalada, mide 7–20 µm (alcanzando >30 µm). Posee un núcleo anterior, un axostilo prominente que recorre el parásito longitudinalmente y emerge por el extremo posterior. Presenta cinco flagelos: cuatro anteriores libres y un quinto flagelo recurrente, que se adhiere al cuerpo formando una corta membrana ondulante.

UBICACIÓN: Tracto urogenital.

  • Mujeres: Vagina y uretra.
  • Hombres: Uretra, próstata y vesículas seminales.

ESTADO INFECTANTE: Trofozoíto.

ENFERMEDAD: Tricomoniasis.

SÍNTOMAS:

  • En Mujeres: Un alto porcentaje (hasta 50%) es asintomático. La forma sintomática clásica incluye disuria (dolor al orinar) y una leucorrea (flujo vaginal) característica: abundante, espumosa, de color amarillo-verdoso y fétida. Causa prurito e irritación vulvovaginal.
  • En Hombres: Mayoritariamente asintomático (hasta 90%). Cuando presenta síntomas, cursa como una uretritis leve (con escasa secreción transuretral), prostatitis o epididimitis.

DIAGNÓSTICO: Examen microscópico directo al fresco de la secreción vaginal o uretral (o sedimento urinario) para observar trofozoítos móviles. El cultivo (medio de Diamond) es más sensible. Actualmente, las pruebas de amplificación de ácidos nucleicos (NAATs/PCR) son el estándar de oro por su alta sensibilidad y especificidad.


Revisa más información en la página de la CDC:

https://www.cdc.gov/dpdx/trichomoniasis/index.html

 

I.C. FILO CILIOPHORA

Neobalantidium coli

CARACTERÍSTICAS: Es el protozoo ciliado de mayor tamaño que parasita al ser humano y el único patógeno confirmado de este filo. Su ciclo de vida incluye un trofozoíto y un quiste. Su reservorio principal es el cerdo.

  • Trofozoíto: De gran tamaño, mide 80–150 µm de longitud. Presenta una morfología ovoide. Su cuerpo está completamente recubierto por hileras longitudinales de cilios, que le confieren movilidad rotatoria característica (sincronizada). Posee una depresión anterior (citostoma o “boca”) para la ingestión y una posterior (citopigio) para la excreción. Internamente, se caracteriza por dos núcleos: un macronúcleo grande y arriñonado (vegetativo) y un micronúcleo pequeño y esférico (reproductivo).
  • Quiste: Forma de resistencia e infectante. Esférico u ovoide, mide 40–60 µm. Está cubierto por una pared quística gruesa y transparente. A diferencia de otros protozoos, el quiste conserva la estructura ciliar interna (aunque inmóvil) y el macronúcleo visible.

UBICACIÓN: Intestino grueso (luz intestinal, ciego, recto-sigmoide). Puede invadir la mucosa.

ESTADO INFECTANTE: Quiste.

ENFERMEDAD: Balantidiasis.

SÍNTOMAS: La mayoría de las infecciones son asintomáticas.

  • Balantidiasis Aguda (Forma Disentérica): Similar a la amibiasis, causa dolor abdominal, tenesmo y múltiples deposiciones diarreicas con moco y sangre (disentería). Puede haber náuseas, fiebre y deshidratación. El parásito puede ulcerar la mucosa colónica.
  • Balantidiasis Crónica: Cursa con diarrea intermitente alternada con estreñimiento, dolor abdominal vago, anorexia y astenia.

DIAGNÓSTICO: Examen coproparasitológico (directo al fresco o por concentración-sedimentación) para la búsqueda de trofozoítos (en heces disentéricas) o quistes (en heces formadas). La endoscopía con biopsia o raspado de úlceras colónicas también puede revelar trofozoítos invasivos.


IMAGEN ESCANEADA
Balantidium coli
Revisa más información en la página de la CDC:

I.D. FILO AMOEBOZOA (AMEBAS)

Entamoeba histolytica

CARACTERÍSTICAS: Ameba anaerobia facultativa, agente causal de la amibiasis. Morfológicamente, es indistinguible de la especie no patógena Entamoeba dispar. La diferenciación requiere métodos moleculares o la detección de trofozoítos hematófagos (que solo realiza E. histolytica). Su ciclo de vida presenta dos estadios:

  • Trofozoíto: Forma activa, móvil e invasiva (patógena). Mide 10–60 µm. Es pleomórfico, moviéndose mediante la emisión de pseudópodos hialinos (proyecciones del ectoplasma). El núcleo es esférico, con un cariosoma central, pequeño y puntiforme, y cromatina periférica fina y regular (aspecto clásico de “rueda de carreta”). En casos de disentería, los trofozoítos de E. histolytica son hematófagos (contienen eritrocitos fagocitados en su endoplasma), característica diagnóstica clave.
  • Quiste: Forma de resistencia e infectante. Esférico, mide 10–20 µm. Pasa por estadios de prequiste (1 núcleo) hasta alcanzar la madurez. El quiste maduro es tetranucleado (4 núcleos) y presenta cuerpos cromidales (barras de cromatina) con extremos romos en su citoplasma (más comunes en quistes inmaduros).

UBICACIÓN: Intestino grueso (ciego, sigmoide y recto). Puede diseminarse por vía hematógena a otros órganos (hígado, pulmón, cerebro).

ESTADO INFECTANTE: Quiste maduro tetranucleado (o quiste tetrágeno).

ENFERMEDAD: Amibiasis (o Amebiasis).

SÍNTOMAS:

  • Infección Asintomática (90%): Portadores sanos (usualmente E. dispar o E. histolytica no invasiva).
  • Amibiasis Intestinal Invasiva:
    • Colitis Aguda (Disentería Amibiana): Dolor abdominal tipo cólico, pujo, tenesmo y deposiciones frecuentes con moco y sangre. Produce úlceras características en “cuello de botella” o “botón de camisa” en la mucosa colónica.
    • Colitis Crónica: Diarrea intermitente, dolor abdominal, meteorismo.
  • Amibiasis Extraintestinal: Resulta de la diseminación hematógena de trofozoítos. La forma más común es el absceso hepático amibiano (cursa con fiebre, dolor en hipocondrio derecho y hepatomegalia). Menos frecuente, abscesos pulmonares o cerebrales.

DIAGNÓSTICO:

  • Intestinal: Examen coproparasitológico seriado (directo al fresco y por concentración) para identificar quistes y/o trofozoítos. En disentería, la observación de trofozoítos hematófagos es diagnóstica de E. histolytica. La colonoscopía con biopsia de úlceras también es útil.

Extraintestinal: Pruebas serológicas (ELISA) para detectar anticuerpos séricos y técnicas de imagenología (ecografía, TAC) para visualizar abscesos. La detección de antígenos en heces o PCR permite diferenciar E. histolytica de E. dispar.


IMAGEN ESCANEADA
Entamoeba histolitica   (úlcera)
Revisa más información en la página de la CDC:

SUPERGRUPO STRAMENOPILA (REINO CHROMISTA)

Blastocystis spp

CARACTERÍSTICAS: Organismo unicelular anaerobio estricto, de taxonomía compleja y controvertida. Actualmente no se clasifica como protozoo, sino dentro del supergrupo Stramenopila (junto con algas pardas y oomicetos). Su patogenicidad es variable y objeto de debate, dependiendo del subtipo genético (ST) y de la respuesta inmune del hospedero. Presenta un marcado polimorfismo, destacando cuatro formas principales en heces humanas:

  • Forma Vacuolar (o Cuerpo Central): La forma más común observada en cultivos y heces. Esférica, mide de 5 a 40 µm (promedio 15–25 µm). Se caracteriza por una gran vacuola central que ocupa casi todo el citoplasma (90%), desplazando los organelos y el/los núcleo(s) a la periferia.
  • Forma Granular: Similar en tamaño a la vacuolar, pero la vacuola central o el citoplasma contienen múltiples gránulos (posiblemente lípidos o cristales).
  • Forma Amiboide: Irregular, móvil mediante pseudópodos. Mide 2.6–8 µm. Se observa en infecciones sintomáticas y se asocia con invasividad.
  • Quiste: Forma de resistencia e infectante. Esférica u ovoide, de menor tamaño (3–8 µm). Posee una pared quística gruesa de múltiples capas, carece de vacuola central y contiene 1–2 núcleos. Es la forma más resistente a condiciones ambientales y responsable de la transmisión fecal-oral.
  • (Otras formas descritas incluyen la avacuolar y multivacuolar, consideradas transicionales).

UBICACIÓN: Intestino grueso (íleon y colon).

ESTADO INFECTANTE: Quiste de pared gruesa.

ENFERMEDAD: Blastocystiasis (su rol como patógeno primario es controvertido).

SÍNTOMAS: Frecuentemente asintomático. Cuando se asocia a síntomas (especialmente en altas cargas parasitarias), estos son inespecíficos e incluyen diarrea acuosa, dolor abdominal, náuseas, flatulencia, fatiga y, en ocasiones, prurito o rash cutáneo. Se ha reportado su asociación con el síndrome de intestino irritable (SII). Las manifestaciones extraintestinales (artritis) son extremadamente raras.

DIAGNÓSTICO: Examen coproparasitológico directo al fresco (donde las formas vacuolares se lisan rápidamente si se diluyen en agua) y frotis teñidos (Tricrómico, Giemsa). El cultivo en medios anaerobios es más sensible. El diagnóstico molecular (PCR y secuenciación) es el método de elección para la detección y subtipificación (ST).

Revisa más información en la página de la CDC:

https://www.cdc.gov/dpdx/blastocystis/index.html