REINO ANIMALIA: HELMINTOS

FILO NEMATODA (GUSANOS CILÍNDRICOS)

Enterobius vermicularis (Oxiuro)

CARACTERÍSTICAS: Nematodo fusiforme de color blanquecino, conocido comúnmente como “pidulle” u oxiuro. Presenta un marcado dimorfismo sexual. El ciclo de vida es directo (monoxeno) y no requiere paso por la tierra.

  • Huevo: Asimétrico, con una cara plana y otra convexa (forma de “D”). Mide 50–60 µm x 20–30 µm. Su cubierta es translúcida y delgada. Es la forma infectante; se larvada en el exterior (zona perianal) en aproximadamente 6 horas, volviéndose infeccioso.
  • Hembra Adulta: Mide 8–13 mm x 0.3–0.5 mm. Su extremo posterior es recto y muy aguzado (alfiler, de ahí el término pinworm). Tras la cópula en el ciego, migra grávida (con el útero distendido por miles de huevos) a través del ano, generalmente durante la noche, para oviponer en los márgenes perianales.
  • Macho Adulto: Significativamente más pequeño, mide 2–5 mm x 0.1–0.2 mm. Su extremo posterior presenta una marcada curvatura ventral y una espícula copulatoria. Generalmente es eliminado con las heces tras la cópula.

UBICACIÓN: Adultos en el ciego y apéndice cecal. Hembras grávidas y huevos en la región perianal y perineal.

ESTADO INFECTANTE: Huevo larvado.

ENFERMEDAD: Enterobiasis u Oxiuriasis.

SÍNTOMAS: El síntoma cardinal es el prurito anal, de predominio nocturno, causado por la migración de la hembra. Esto deriva en insomnio, irritabilidad y bruxismo. El rascado puede provocar excoriaciones e infecciones bacterianas secundarias. En mujeres, la migración errática puede causar vulvovaginitis.

DIAGNÓSTICO: Debido a que los huevos raramente se encuentran en las heces, el método de elección es el Test de Graham (técnica de la cinta adhesiva transparente). Este procedimiento se realiza por la mañana, antes del aseo o la defecación, aplicando la cinta en los márgenes anales para recolectar los huevos y observarlos al microscopio.


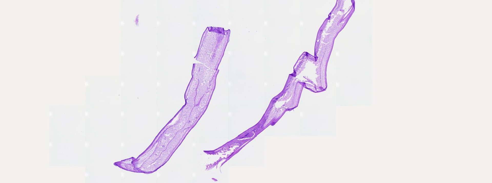
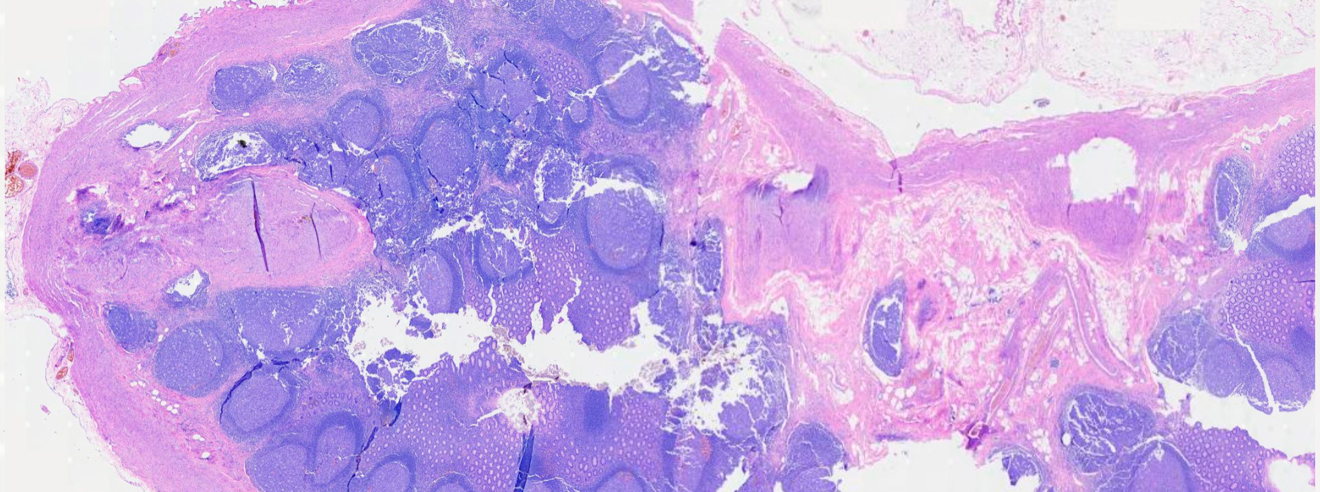
IMAGEN ESCANEADA

 Enterobius vermicularis en Apéndice

https://pathpresenter.net/public/display?token=3c862eda

Revisa más información en la página de la CDC:

https://www.cdc.gov/dpdx/enterobiasis/index.html

 

Strongyloides stercoralis

CARACTERÍSTICAS: Nematodo único con la capacidad de alternar entre un ciclo de vida parasitario y un ciclo de vida libre en el suelo (facultativo), además de poder perpetuarse en el hospedero mediante autoinfección.

  • Hembra Parásita (Partenogenética): Filiforme, mide 2.5–3 mm. Es la única forma adulta en el ciclo parasitario. Se reproduce por partenogénesis (sin fecundación) en la mucosa del intestino delgado.
  • Larva Rabditiforme (L1): Mide 250 µm. Presenta un esófago rabditoide (con bulbo esofágico). Eclosiona de los huevos dentro de la mucosa intestinal y es la forma que se elimina en las heces. Es una etapa no infectante y de alimentación.
  • Larva Filariforme (L3): Mide 500–600 µm. Es la forma infectante. Presenta un esófago filiforme (largo y recto) y una cola bifurcada (muesca). Se desarrolla en el suelo a partir de L1, o en el lumen intestinal (autoinfección), y penetra activamente la piel del hospedero.
  • Adultos de Vida Libre: En el suelo, las L1 rabditiformes pueden mudar y diferenciarse en machos (0.8–1 mm) y hembras (1–5 mm) de vida libre, sexualmente maduros, que se reproducen y mantienen el ciclo exógeno.

UBICACIÓN: Hembras parásitas en la mucosa del intestino delgado (duodeno y yeyuno). Larvas en migración (piel, pulmones). Formas de vida libre en suelo húmedo.

ESTADO INFECTANTE: Larva filariforme (L3).

ENFERMEDAD: Estrongiloidiasis.

SÍNTOMAS:

  1. Fase Cutánea: Eritema pruriginoso y edema en el sitio de penetración de la L3. Una manifestación patognomónica es la Larva currens (erupción serpiginosa de avance rápido).
  2. Fase Pulmonar (Migración): Tos, expectoración, fiebre leve. En migraciones masivas, puede presentarse neumonitis o síndrome de Loeffler.
  3. Fase Intestinal: Dolor abdominal tipo cólico (epigástrico), diarrea intermitente, náuseas y malabsorción.
  4. Hiperinfección/Diseminación (Inmunosuprimidos): En pacientes con inmunosupresión (especialmente por corticoides), el ciclo de autoinfección se descontrola, llevando a una invasión masiva de larvas filariformes a pulmones, SNC y otros órganos, con alta mortalidad.

DIAGNÓSTICO: Identificación de larvas rabditiformes (L1) en exámenes coproparasitológicos seriados (EPSD). Métodos de concentración (Baermann, sedimentación) o cultivos especiales (Harada-Mori, placa de agar) aumentan la sensibilidad. La serología (ELISA) es crucial en la fase crónica y en el tamizaje previo a la inmunosupresión.


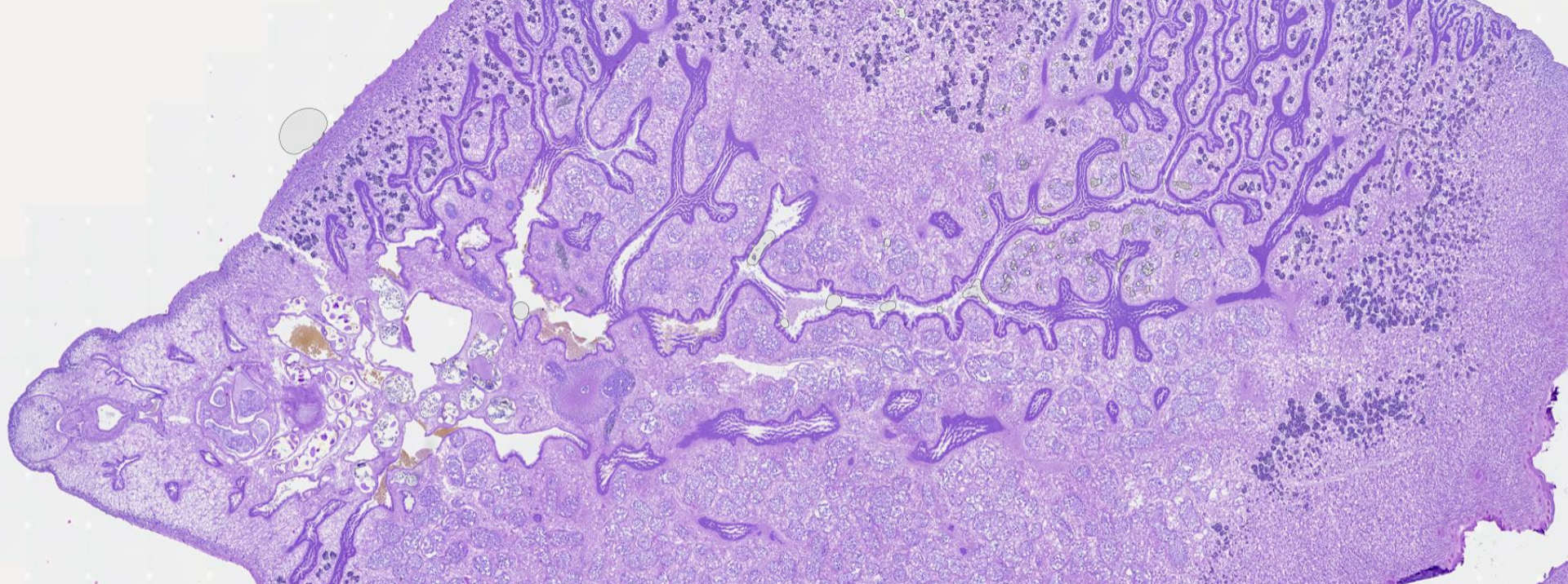
IMAGEN ESCANEADA

Strongyloides

https://pathpresenter.net/public/display?token=d9f0840c

Revisa más información en la página de la CDC:

https://www.cdc.gov/dpdx/strongyloidiasis/index.html

Trichinella spiralis (y otras especies)

CARACTERÍSTICAS: Nematodo tisular cuyo ciclo de vida se completa en un único hospedero, que actúa secuencialmente como hospedero definitivo (albergando adultos en el intestino) e intermediario (albergando larvas en el músculo).

  • Adulto (Macho y Hembra): Gusanos muy pequeños (macho 1.4–1.6 mm; hembra 3–4 mm) que residen en la mucosa del intestino delgado. Tras la cópula, el macho muere y la hembra vivípara (no pone huevos) libera larvas L1 recién nacidas.
  • Larva Muscular (L1): Es la forma infectante y la etapa de resistencia. Mide aprox. 1.2 mm. Las larvas L1 liberadas por la hembra migran vía sanguínea o linfática hasta la musculatura estriada, donde penetran las fibras musculares. Allí, inducen la formación de una estructura de resistencia única llamada “célula nodriza”, dentro de la cual la larva se enrolla en espiral. Estas larvas encapsuladas pueden permanecer viables durante años.

UBICACIÓN: Adultos en el intestino delgado. Larvas (L1) enquistadas en el músculo esquelético (diafragma, maseteros, deltoides).

ESTADO INFECTANTE: Larva muscular (L1) enquistada en la “célula nodriza”, adquirida por consumo de carne cruda o mal cocida.

ENFERMEDAD: Triquinosis o Triquinelosis.

SÍNTOMAS:

  1. Fase Intestinal (1-7 días post-infección): Inespecífica. Náuseas, vómito, diarrea, dolor abdominal, por la acción de los adultos.
  2. Fase de Migración e Invasión Muscular (Fase Aguda): Es la fase sistémica grave. Se caracteriza por fiebre alta intermitente, mialgias intensas (dolor muscular al masticar, respirar, mover los ojos), edema facial y periorbitario, y una marcada eosinofilia.
  3. Fase Crónica (Convalecencia): Encapsulación de las larvas, con disminución gradual de los síntomas musculares.

DIAGNÓSTICO: El diagnóstico clínico se apoya en la tríada de mialgias, edema facial y eosinofilia, con antecedente de consumo de carne sospechosa. La serología (ELISA) es el método de elección. La biopsia muscular (detección de larvas enquistadas) es el estándar de oro, pero es un método invasivo.


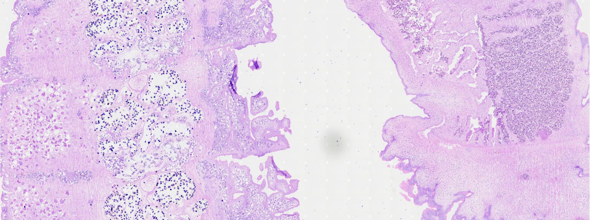
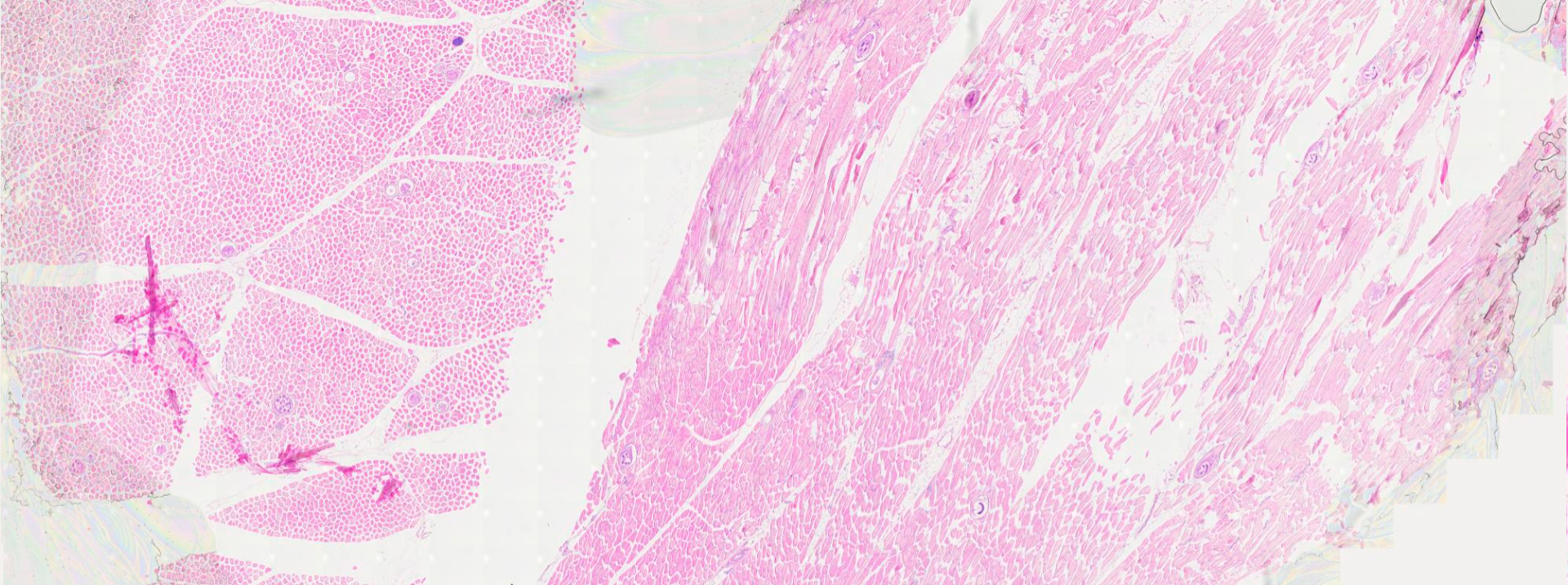
IMAGEN ESCANEADA

 Trichinella spiralis en músculo

https://pathpresenter.net/public/display?token=24bac4c6

Revisa más información en la página de la CDC:

https://www.cdc.gov/dpdx/trichinellosis/index.html

Síndromes de Larva Migrans

Corresponden a entidades clínicas causadas por la migración de larvas de nematodos zoonóticos en el ser humano, quien actúa como hospedero accidental. En este hospedero, las larvas no pueden completar su ciclo biológico y madurar a adultos, limitándose a migrar por los tejidos.

  1. Síndrome de Larva Migrans Cutánea (LMC)
  • Etiología: Principalmente larvas de anquilostomas de animales, como Ancylostoma braziliense y Ancylostoma caninum (parásitos de perros y gatos).
  • Estado Infectante: Larva filariforme (L3) presente en suelo contaminado con heces de animales, que penetra la piel humana.
  • Ubicación: Las larvas quedan atrapadas en la epidermis, incapaces de alcanzar el torrente sanguíneo.
  • Síntomas: Lesión cutánea patognomónica: un tracto serpiginoso, eritematoso, elevado y extremadamente pruriginoso, que avanza varios milímetros a centímetros por día.
  • Diagnóstico: Es fundamentalmente clínico, basado en la observación de la lesión dérmica característica.
  1. Síndrome de Larva Migrans Visceral (LMV) y Ocular (LMO)
  • Etiología: Principalmente larvas de ascáridos de animales, como Toxocara canis (perro) y Toxocara cati (gato).
  • Estado Infectante: Huevo larvado (conteniendo la larva L2) ingerido del suelo contaminado (geofagia en niños) o fómites.
  • Ubicación: Las larvas L2 eclosionan en el intestino, penetran la pared y migran vía hematógena a diversos órganos (hígado, pulmones, cerebro) o al ojo (retina, vítreo).
  • Síntomas:
    • LMV: Depende de la carga parasitaria y el órgano afectado. Cursa con fiebre, hepatomegalia, síntomas respiratorios (tos, neumonitis, broncoespasmo) y una eosinofilia masiva y persistente.
    • LMO: Generalmente unilateral. Causa pérdida de la visión, estrabismo, leucocoria (reflejo pupilar blanco, simulando un retinoblastoma) y granulomas retinales.
  • Diagnóstico: Se basa en la clínica, la eosinofilia marcada (en LMV) y la serología (ELISA) para detectar anticuerpos anti-Toxocara. El diagnóstico de LMO es oftalmológico.

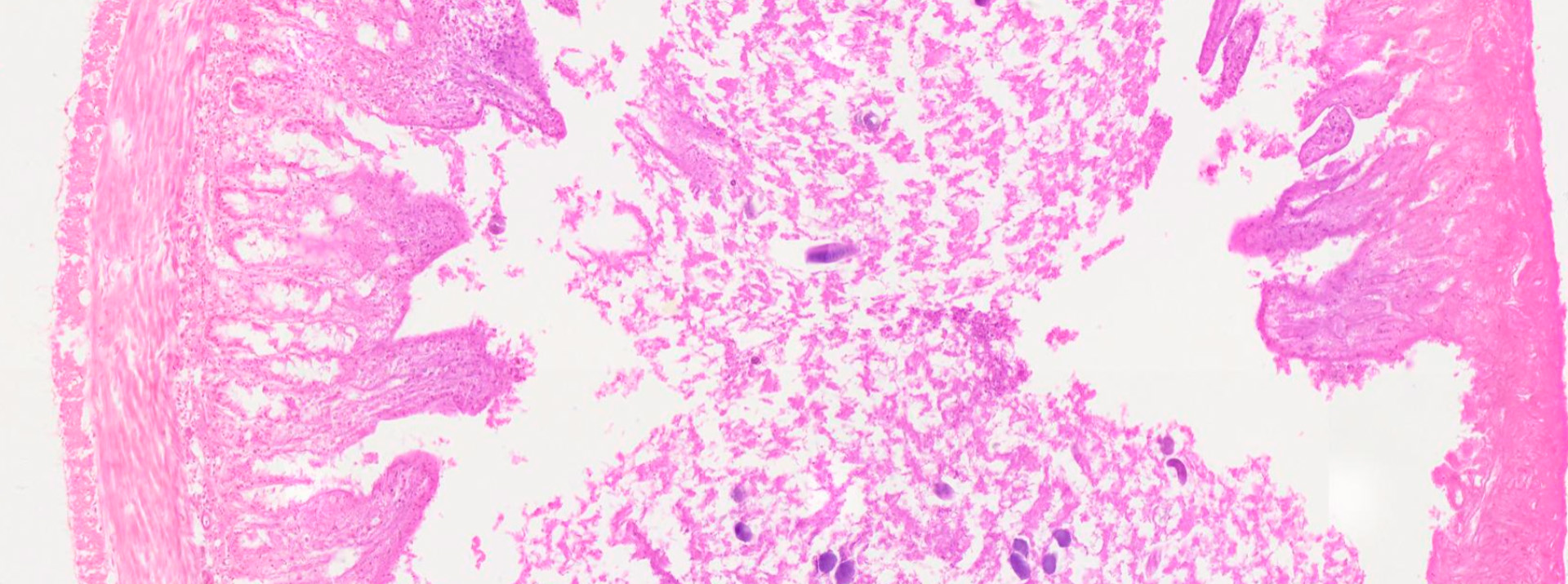
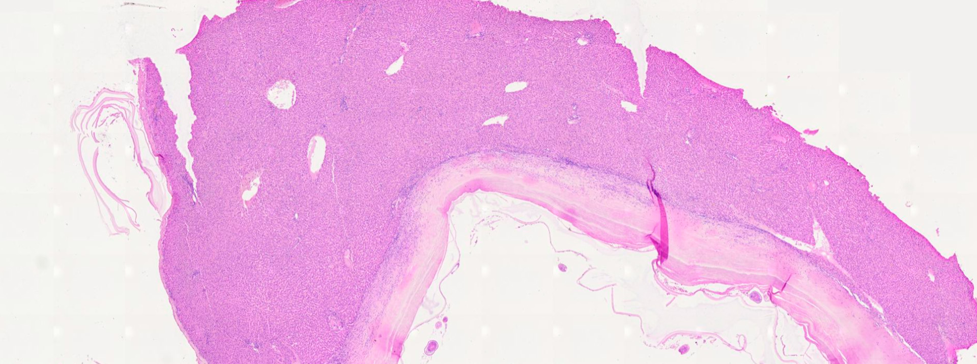
IMAGEN ESCANEADA

Larva migrans en linfonódulo

https://pathpresenter.net/public/display?token=0e36302c

Toxocara adulto

https://pathpresenter.net/public/display?token=9ab30267

Revisa más información en la página de la CDC:

https://www.cdc.gov/dpdx/hookworm/index.html

Trichuris trichiura (Tricocéfalo)

CARACTERÍSTICAS: Nematodo geohelminto conocido como “gusano látigo” debido a su morfología.

  • Huevo: Muy característico. Tiene forma de barril (o balón de fútbol americano), color pardo, y presenta un tapón mucoso hialino en cada polo. Mide 45–55 µm x 20–25 µm. Se elimina no embrionado en las heces y debe madurar en el suelo (geohelminto).
  • Adulto (Macho y Hembra): Miden 30–50 mm. Presentan un dimorfismo morfológico único: los dos tercios anteriores del cuerpo son extremadamente delgados y filiformes (como un látigo), mientras que el tercio posterior es grueso (el “mango”). La porción anterior (el esticosoma) se enhebra en la mucosa del colon, mientras que la posterior queda libre en el lumen. El macho tiene el extremo posterior curvado ventralmente; la hembra lo tiene recto y romo.

UBICACIÓN: Intestino grueso, principalmente ciego y colon ascendente.

ESTADO INFECTANTE: Huevo larvado (madurado en el suelo).

ENFERMEDAD: Tricocefaliasis o Tricuriasis.

SÍNTOMAS: Las infecciones leves son asintomáticas. En infecciones masivas (comunes en niños), la irritación mecánica y la inflamación de la mucosa colónica causan: dolor abdominal tipo cólico, diarrea crónica (a veces disentérica), tenesmo y pujo. El síntoma clásico de la tricocefaliasis severa es el prolapso rectal, donde los gusanos adultos pueden ser visibles adheridos a la mucosa edematosa.

DIAGNÓSTICO: Examen coproparasitológico (EPSD) mediante métodos de concentración (flotación o sedimentación, como Burrows modificado o Kato-Katz) para la identificación de los huevos característicos.

Revisa más información en la página de la CDC:

https://www.cdc.gov/dpdx/trichuriasis/index.html

Ascaris lumbricoides (Lombriz intestinal)

CARACTERÍSTICAS: El nematodo intestinal de mayor tamaño que parasita al ser humano. Es un geohelminto.

  • Huevo Fecundado: Ovoide, mide 45–75 µm x 35–50 µm. Posee tres capas: una interna vitelina, una media gruesa y hialina, y una externa mamelonada (ondulada), de color pardo por la bilis.
  • Huevo No Fecundado: Más alargado y estrecho (85–90 µm), con mamelones irregulares o ausentes. No es viable.
  • Huevo Decorticado: Huevo fecundado que ha perdido la capa mamelonada externa, apareciendo liso.
  • Larvas: Pasa por varios estadios (L1-L4) durante su migración tisular (Ciclo de Loos).
  • Adulto (Macho y Hembra): Gusanos grandes, cilíndricos, de color blanco-rosado.
    • Hembra: Mide 15–45 cm. Extremo posterior recto.
    • Macho: Más pequeño, 15–30 cm. Extremo posterior curvado ventralmente, con espículas copulatorias. La boca en ambos sexos presenta tres labios prominentes.

UBICACIÓN: Adultos en la luz del intestino delgado (yeyuno). Larvas en migración (hígado, pulmones).

ESTADO INFECTANTE: Huevo larvado, conteniendo la larva de segundo estadio (L2) en su interior, tras madurar en el suelo.

ENFERMEDAD: Ascariasis.

SÍNTOMAS:

  1. Fase Larvaria (Migración o Ciclo de Loos): Tras la ingestión del huevo, la L2 eclosiona, penetra el intestino y migra al hígado, corazón y pulmones. Al llegar a los alvéolos, causa el Síndrome de Loeffler: neumonitis eosinofílica con tos, expectoración, febrícula y disnea.
  2. Fase Adulta (Intestinal): En infecciones leves, es asintomática. En infecciones masivas, puede causar dolor abdominal difuso, meteorismo, náuseas, vómitos y desnutrición en niños. La complicación más grave es la obstrucción intestinal por un ovillo de gusanos. También puede haber migraciones erráticas (a vías biliares, páncreas, apéndice, boca o nariz).

DIAGNÓSTICO:

  • Fase Intestinal: Examen coproparasitológico (EPSD) por métodos de concentración (Teleman, Burrows) o Kato-Katz para la detección de los huevos característicos.

Fase Pulmonar: Detección de eosinofilia en sangre y larvas en esputo (raro).


IMAGENES ESCANEADAS

Ascaris completo
Ascaris labios
Revisa más información en la página de la CDC:

Anisakis simplex (y spp. relacionadas)

CARACTERÍSTICAS: Nematodo de la familia Anisakidae cuyos hospederos definitivos son mamíferos marinos (delfines, ballenas). El ser humano es un hospedero accidental.

  • Larva L3: Es la forma infectante. Mide 30–40 mm, de color blanquecino o rosado. Se encuentra visible (a menudo enrollada en espiral) en las vísceras y el músculo de peces y cefalópodos (hospederos intermediarios y paraténicos).
  • Adulto: Mide 1–5 cm. Se desarrolla solo en el estómago del mamífero marino.

UBICACIÓN: En el humano, la larva L3 se localiza en el estómago e intestino delgado, penetrando la mucosa o submucosa.

ESTADO INFECTANTE: Larva L3, ingerida en pescado o cefalópodo crudo o insuficientemente cocido (ej. ceviche, sushi, boquerones).

ENFERMEDAD: Anisakiasis o Anisakidosis.

SÍNTOMAS: Aparecen horas después de la ingesta (24–48 h).

  1. Forma Gástrica/Intestinal (Parasitaria): Dolor abdominal epigástrico intenso (simulando apendicitis o úlcera), náuseas, vómitos y diarrea. La larva penetra la mucosa causando inflamación, edema y formación de granulomas.
  2. Forma Alérgica: Reacciones de hipersensibilidad (tipo I) a antígenos del parásito, que van desde urticaria leve hasta shock anafiláctico, incluso con larvas muertas (por cocción).

DIAGNÓSTICO: Endoscopía digestiva alta, que permite la visualización directa de la larva penetrando la mucosa gástrica y su extracción (siendo diagnóstica y terapéutica). El diagnóstico de la alergia se realiza mediante pruebas cutáneas (prick test) y serología (IgE específica).


IMAGEN ESCANEADA

Anisakis

https://pathpresenter.net/public/display?token=3408479f

https://pathpresenter.net/public/display?token=7f6b5cf2

Revisa más información en la página de la CDC:

https://www.cdc.gov/dpdx/anisakiasis/index.html

Uncinarias (Necator americanus y Ancylostoma duodenale)

CARACTERÍSTICAS: Geohelmintos hematófagos (“gusanos gancho”) responsables de la anquilostomiasis.

  • Huevo: Ovoide, mide 60–70 µm x 40 µm. Presenta una cáscara hialina y delgada. En el momento de la deposición, contiene de 4 a 8 blastómeros en segmentación. Morfológicamente, los huevos de ambas especies son indistinguibles.
  • Larva Rabditiforme (L1-L2): Eclosiona del huevo en el suelo. Esófago rabditoide. No infectante.
  • Larva Filariforme (L3): Forma infectante. Esófago filiforme. Penetra activamente la piel.
  • Adultos: Gusanos cilíndricos, blanquecinos o rosados (1 cm aprox.), con una marcada curvatura anterior (forma de “C”). Se fijan firmemente a la mucosa del duodeno para succionar sangre.
    • N. americanus: Posee placas cortantes semilunares en su cápsula bucal.
    • A. duodenale: Posee dos pares de dientes agudos en forma de gancho.

UBICACIÓN: Adultos adheridos a la mucosa del intestino delgado (duodeno y yeyuno).

ESTADO INFECTANTE: Larva filariforme (L3) que penetra la piel desde el suelo.

ENFERMEDAD: Uncinariasis, Anquilostomiasis o Necatoriasis.

SÍNTOMAS:

  1. Fase Cutánea (Invasión): “Prurito del suelo”. Erupción papular o vesicular eritematosa y pruriginosa en el sitio de penetración (pies, manos).
  2. Fase Pulmonar (Migración): Síndrome de Loeffler (tos, bronquitis), generalmente más leve que en ascariasis.
  3. Fase Intestinal (Fijación): Es la fase crónica. Los adultos succionan sangre, causando dolor epigástrico, dispepsia, diarrea y geofagia (deseo de comer tierra). El síntoma cardinal es la anemia microcítica hipocrómica (ferropénica), que provoca palidez, fatiga, disnea de esfuerzo y retraso del crecimiento en niños.

DIAGNÓSTICO: Examen coproparasitológico (EPSD) con métodos de concentración (Kato-Katz) para cuantificar la carga parasitaria mediante el recuento de los huevos característicos en las heces.

Revisa más información en la página de la CDC:

https://www.cdc.gov/dpdx/zoonotichookworm/index.html

FILO PLATYHELMINTHES (GUSANOS PLANOS) – CLASE CESTODA

Taenia solium

CARACTERÍSTICAS: Cestodo (gusano plano) hermafrodita, con un cuerpo acintado y segmentado (estróbilo). Requiere un ciclo heteroxeno (cerdo-humano). El ser humano es el único hospedero definitivo, pero puede actuar como hospedero intermediario accidental.

  • Huevo (Embrióforo): Esférico, 47–77 µm. No se distingue del de T. saginata. Posee una gruesa cubierta externa radiada (embrióforo) de color café, que protege al embrión hexacanto (con 6 ganchos) u oncosfera.
  • Cisticerco (Forma Larvaria): (Cysticercus cellulosae). Vesícula esférica, translúcida, de 0.5–1 cm, que contiene líquido y un escólex invaginado. Se localiza en los tejidos del cerdo (hospedero intermediario).
  • Adulto: Mide 2–4 metros. Consta de:
    • Escólex: Piriforme (1 mm), órgano de fijación. Presenta 4 ventosas y un rostelo armado con una doble corona de ganchos (25–30).
    • Cuello: Zona de crecimiento.
    • Estróbilo: Cadena de proglótides (segmentos). Las proglótides grávidas (terminales) contienen un útero con menos de 12 ramificaciones uterinas principales a cada lado (dendríticas).

UBICACIÓN:

  • Teniasis: Gusano adulto en el intestino delgado del humano (hospedero definitivo).
  • Cisticercosis: Cisticercos (larvas) en tejidos del cerdo (hospedero intermediario) o del humano (hospedero accidental), principalmente músculo, cerebro (neurocisticercosis) y ojos.

ESTADO INFECTANTE:

  • Para la Teniasis (Infección Intestinal): Ingestión de Cisticercos en carne de cerdo cruda o mal cocida.
  • Para la Cisticercosis (Infección Tisular): Ingestión de Huevos de T. solium (liberados en heces humanas) por vía fecal-oral o autoinfección.

ENFERMEDAD: Teniasis (por el adulto) y Cisticercosis (por la larva).

SÍNTOMAS:

  • Teniasis: Generalmente leve o asintomática. Dolor abdominal vago, náuseas, sensación de hambre, prurito anal por la migración de proglótides.
  • Cisticercosis: La gravedad depende de la localización. La Neurocisticercosis (NCC) es la forma más grave, siendo una causa principal de epilepsia adquirida en zonas endémicas. Cursa con convulsiones, cefalea, hipertensión endocraneana y déficits neurológicos.

DIAGNÓSTICO:

  • Teniasis: Examen coproparasitológico para detectar huevos de Taenia spp. o identificación de las proglótides grávidas (conteo de ramas uterinas tras tinción).
  • Cisticercosis: Neuroimagen (TAC, RMN) que revela calcificaciones o quistes viables, y serología (Inmunoblot) en suero o LCR.

 


IMAGEN ESCANEADA

Taenia     (proglótides ) 

https://pathpresenter.net/public/display?token=bda6f69b

Cisticerco (en cerebro)

https://pathpresenter.net/public/display?token=e76b735d

Cisticerco (en musculatura)

https://pathpresenter.net/public/display?token=e005a07e

Taenia solium
Revisa más información en la página de la CDC:

Echinococcus granulosus

CARACTERÍSTICAS: Cestodo diminuto cuyo ciclo de vida involucra a un hospedero definitivo (cánidos, como el perro) y un hospedero intermediario (herbívoros, como la oveja, y accidentalmente el humano).

  • Huevo: Morfológicamente indistinguible del huevo de Taenia spp. Contiene la oncosfera.
  • Adulto (en el perro): Muy pequeño, mide 3–6 mm. Consta de un escólex (4 ventosas, doble corona de ganchos), cuello y un estróbilo de solo tres proglótides: una inmadura, una madura (hermafrodita) y una grávida (llena de huevos).
  • Quiste Hidatídico (Forma Larvaria en el humano): Es la forma patógena. Estructura vesicular compleja, esférica, que crece lentamente (cm a años) en los tejidos. Es unilocular y está compuesto por una capa externa (adventicia, del hospedero) y dos capas parasitarias (laminada acelular externa y germinativa interna). La capa germinativa produce miles de protoescólices (la “arenilla hidatídica”) y vesículas hijas.

UBICACIÓN:

  • Adulto: Intestino delgado del perro.
  • Quiste Hidatídico: Hígado (localización más frecuente) y pulmones en el ser humano (hospedero intermediario accidental).

ESTADO INFECTANTE: Huevos (eliminados en heces de perro) ingeridos por el humano.

ENFERMEDAD: Hidatidosis o Equinococosis Quística.

SÍNTOMAS: La infección es asintomática durante años (“tumor benigno parasitario”). Los síntomas aparecen por el efecto de masa del quiste (dolor en hipocondrio derecho, disnea, tos) o por complicaciones. La rotura del quiste es la complicación más grave, pudiendo causar una siembra peritoneal/pleural (hidatidosis secundaria) o un shock anafiláctico por la liberación masiva de antígenos.

DIAGNÓSTICO: El diagnóstico se basa en técnicas de imagen (Ecografía y TAC son de elección) que revelan la estructura quística característica (clasificación de Gharbi). Se confirma mediante serología (ELISA, Inmunoblot). La intradermorreacción de Casoni tiene valor histórico, pero está en desuso por su baja sensibilidad y riesgo de sensibilización.


IMAGEN ESCANEADA

Quiste hidatídico  (Larva de E. granulosus)

https://pathpresenter.net/public/display?token=ec02de51

E. granulosus adulto

https://pathpresenter.net/public/display?token=3a655332

Protoescólex   de  E. granulosus (dentro de quiste hidatídico)

https://pathpresenter.net/public/display?token=98e13feb

Protoescólices  invaginados

https://pathpresenter.net/public/display?token=93a0070e

Revisa más información en la página de la CDC:
https://www.cdc.gov/dpdx/echinococcosis/index.html

Dibothriocephalus latus (y spp. relacionadas)

CARACTERÍSTICAS: Conocido como la “tenia ancha de los peces”. Es el cestodo más largo que parasita al humano (hasta 20 metros). Su ciclo de vida es acuático y complejo, requiriendo dos hospederos intermediarios.

  • Huevo: Ovoide, de color pardo, mide aprox. 60 x 44 µm. Posee un opérculo (tapa) en un extremo y un pequeño botón abopercular en el otro. Se elimina no embrionado.
  • Coracidio: Larva ciliada y móvil que eclosiona del huevo en el agua.
  • Larva Procercoide: Se desarrolla en el primer hospedero intermediario (un copépodo, pequeño crustáceo).
  • Larva Plerocercoide (Espargano): Se desarrolla en el segundo hospedero intermediario (peces de agua dulce, como salmón, trucha). Es blanquecina, mide 1–60 mm, y es la forma infectante.
  • Adulto: Mide hasta 20 metros.
    • Escólex: Alargado, lanceolado, mide 2–4 mm. Carece de ganchos o ventosas; posee dos surcos longitudinales de succión llamados botrias.
    • Estróbilo: Compuesto por miles de proglótides que son más anchas que largas (trapezoidales). El útero tiene una forma característica de roseta central.

UBICACIÓN: Adulto en el intestino delgado (íleon y yeyuno) del hospedero definitivo (humanos, aves piscívoras, mamíferos piscívoros).

HOSPEDEROS:

  • 1er Intermediario: Copépodo (Crustáceo).
  • 2do Intermediario: Peces de agua dulce (salmón, trucha, perca).
  • Definitivo: Humano y otros mamíferos/aves piscívoros.

ESTADO INFECTANTE: Larva plerocercoide, ingerida en carne de pescado cruda o mal cocida.

ENFERMEDAD: Difilobotriasis.

SÍNTOMAS: A menudo asintomática. Puede causar síntomas digestivos inespecíficos (dolor epigástrico, cólicos, náuseas, pérdida de peso). En infecciones crónicas o masivas, puede causar obstrucción intestinal. La manifestación clínica clásica, aunque rara, es la anemia megaloblástica, ya que el parásito compite con el hospedero por la absorción de vitamina B12 en el íleon.

DIAGNÓSTICO: Examen coproparasitológico (EPSD) por métodos de concentración (sedimentación) o Kato-Katz, para la identificación de los huevos operculados característicos.

Revisa más información en la página de la CDC:

https://www.cdc.gov/dpdx/diphyllobothriasis/index.html

FILO PLATYHELMINTHES (GUSANOS PLANOS) – CLASE TREMATODA

Fasciola hepatica (Duela hepática)

CARACTERÍSTICAS: Platelminto trematodo hermafrodita, conocido comúnmente como la duela hepática de la oveja.

  • Adulto: De cuerpo plano (acintado) y morfología foliácea (en forma de hoja), mide 2–3 cm de longitud por 1–1.5 cm de ancho. Presenta un color café blanquecino. Su extremo anterior exhibe un cono cefálico prominente, que es un rasgo distintivo. Posee dos ventosas musculares para su fijación: una oral (en el extremo del cono) y una ventral (acetábulo) en la base del cono. El tegumento es espinoso. El sistema digestivo es ciego y altamente ramificado (dendrítico).
  • Huevo: De gran tamaño (aprox. 130–150 µm x 60–90 µm), ovoide y de color pardo-amarillento. Presenta una cáscara delgada y un opérculo (tapa) en un extremo. Se elimina no embrionado en las heces del hospedero.

UBICACIÓN:

  • Adulto: Reside en los conductos biliares intrahepáticos del hospedero definitivo (humanos, bovinos, ovinos).
  • Formas Juveniles (Adoelscarias): Migran a través del parénquima hepático antes de alcanzar los conductos biliares.

ESTADO INFECTANTE: Metacercaria. Corresponde a la larva enquistada, que se encuentra adherida a la vegetación acuática (ej. berros) o flotando libremente en el agua.

ENFERMEDAD: Fascioliasis o Fasciolosis.

SÍNTOMAS: La enfermedad progresa en fases claras:

  1. Fase Aguda (Invasiva o Hepática): Corresponde a la migración de las formas juveniles desde el intestino, a través del peritoneo y el parénquima hepático. Dura de 2 a 4 meses. Cursa con fiebre elevada, dolor intenso en el hipocondrio derecho, hepatomegalia dolorosa y una marcada eosinofilia. Es una fase de destrucción mecánica y reacción alérgico-tóxica.
  2. Fase Crónica (Obstructiva o Biliar): Inicia cuando los adultos se establecen en los conductos biliares (meses o años después). Los síntomas se deben a la obstrucción e inflamación biliar: cólicos biliares (similares a una colecistitis), dolor en epigastrio, intolerancia a las grasas, náuseas y prurito. Es característico el dolor que se irradia al hombro derecho (signo de Kehr).

DIAGNÓSTICO: El diagnóstico depende de la fase:

  • Fase Aguda: El diagnóstico es clínico y serológico. Se basa en la eosinofilia, la alteración de pruebas hepáticas y la serología (ELISA), que es el método de elección en esta etapa. La imagenología (ECO/TAC) puede mostrar las trayectorias migratorias.
  • Fase Crónica: El diagnóstico de certeza es la identificación de los huevos operculados característicos en un examen coproparasitológico (EPSD), que requiere métodos de sedimentación (ej. Teleman modificado), dada la densidad de los huevos.

IMAGEN ESCANEADA

 Fasciola hepática

https://pathpresenter.net/public/display?token=ce2231ad

Revisa más información en la página de la CDC:

https://www.cdc.gov/dpdx/fascioliasis/index.html